A man who had been suffering painful headaches for two decades was given painkillers and told to rest - until he walked out of the bathroom one day, unable to speak or lift his arms. Stuart Hill had been suffering from excruciating headaches for over two decades and was given various tablets, as well as being placed on rest, to help manage them.
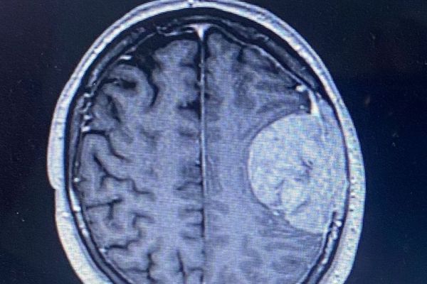
But it was actually a brain tumour that was attached to his membrane and skull.
Sadly, following the surgery, he suffered a stroke; and now, he’s unable to speak properly. “When I went to see him after surgery, he couldn’t speak,” said his wife, Bev, from Swansea. “It was so upsetting to see him so poorly.”
Stuart, 62, had seemed fit and healthy prior to his diagnosis. On April 15, 2025, while away to visit family, he came out of the bathroom unable to speak or raise his arms. Bev, also 62, said: “That was the first proper sign. I thought it was a stroke.
“By the time the ambulance arrived, his speech had started to come back, but they blue-lighted him to Southmead Hospital and gave him a CT scan. Around three [in the morning] they came back and said it wasn’t a stroke, but they had found a mass and that was the start of it.
“It was the worst possible news. My first thought was how we were going to tell our daughters. We were absolutely petrified.”
As the highways inspector’s speech fluctuated, he was prescribed steroids. And surgeons advised that because there was no evidence of cancer elsewhere, it was likely to be a slow-growing tumour that could’ve been there silently for years.
It was advised for Stuart to undergo removal surgery, though this didn’t come without serious, life-changing risks. These included stroke, impairment – and even death.
With little-to-no other options, Bev agreed for her husband to go through with the procedure. After three weeks, on 9 May, the tumour was successfully removed. Sadly, though, it hadn’t grown into his brain and was instead attached to his membrane, as well as his skull.
He had to have the part affected removed and reconstructed using bone cement. I t was then found that he had suffered a stroke in the area responsible for speech and language. Now, 10 months on, it’s still a daily battle to speak.
He has also begun experiencing seizures. While back at home, Stuart still has a long road to recovery ahead of him, including speech therapy and routine scans every six months.
The family are sharing his story in a bid to raise awareness and to share their upcoming challenge of the Swansea Half Marathon of which his daughter, Megan, 24, is taking on. Alongside this, Bev is also hosting a fundraising event, with the hopes both tasks will raise £3,000 for charity Brain Tumour Research.
She added: “For us, we have a happy ending. But we know more funding is needed for research and we want to do our part to make sure other families can have an ending like ours.”
Letty Greenfield, community development manager at Brain Tumour Research, said: “We are so grateful to Stuart, Bev and Megan for sharing their story and for turning such a frightening experience into positive action. While we celebrate Stuart’s recovery, too many families face a very different outcome.
“Brain tumours remain severely underfunded and it is only through increased awareness and sustained investment in research that we can improve survival and ultimately find a cure. Supporters like the Hill family are helping us move closer to that goal.”
Contact to : xlf550402@gmail.com
Copyright © boyuanhulian 2020 - 2023. All Right Reserved.